Il nostro Team

Uno staff altamente qualificato e specializzato nel proprio settore produttivo contribuisce alla realizzazione di un unico progetto lavorativo.

Il nostro laboratorio

Servizi ad alta precisione (CAD/CAM)

Velocità, precisione e professionalità.
Siamo in grado di fornire agli studi protesi su impianti entro 48h dalla richiesta.

Qualità e precisione

Attraverso protocolli certi vengono raggiunti risultati garantiti e predicibili con il vantaggio di meno sedute per il paziente in tempi di esecuzione notevolmente ridotti.

Sistema analogico

Lavorazione tradizionale di alta precisione e affidabilità.
Viene effettuata per tutti i dispositivi in lega nobile.

Riproduzione
della qualità

Attraverso un'organizzazione sistematica del nostro team siamo in grado di ottenere un workflow costante garantendone sempre la precisione.

La nostra accoglienza

Precisione
nei dettagli

La nostra professionalità

Lavorazioni
Ceratura mock-up
<< INDIETRO

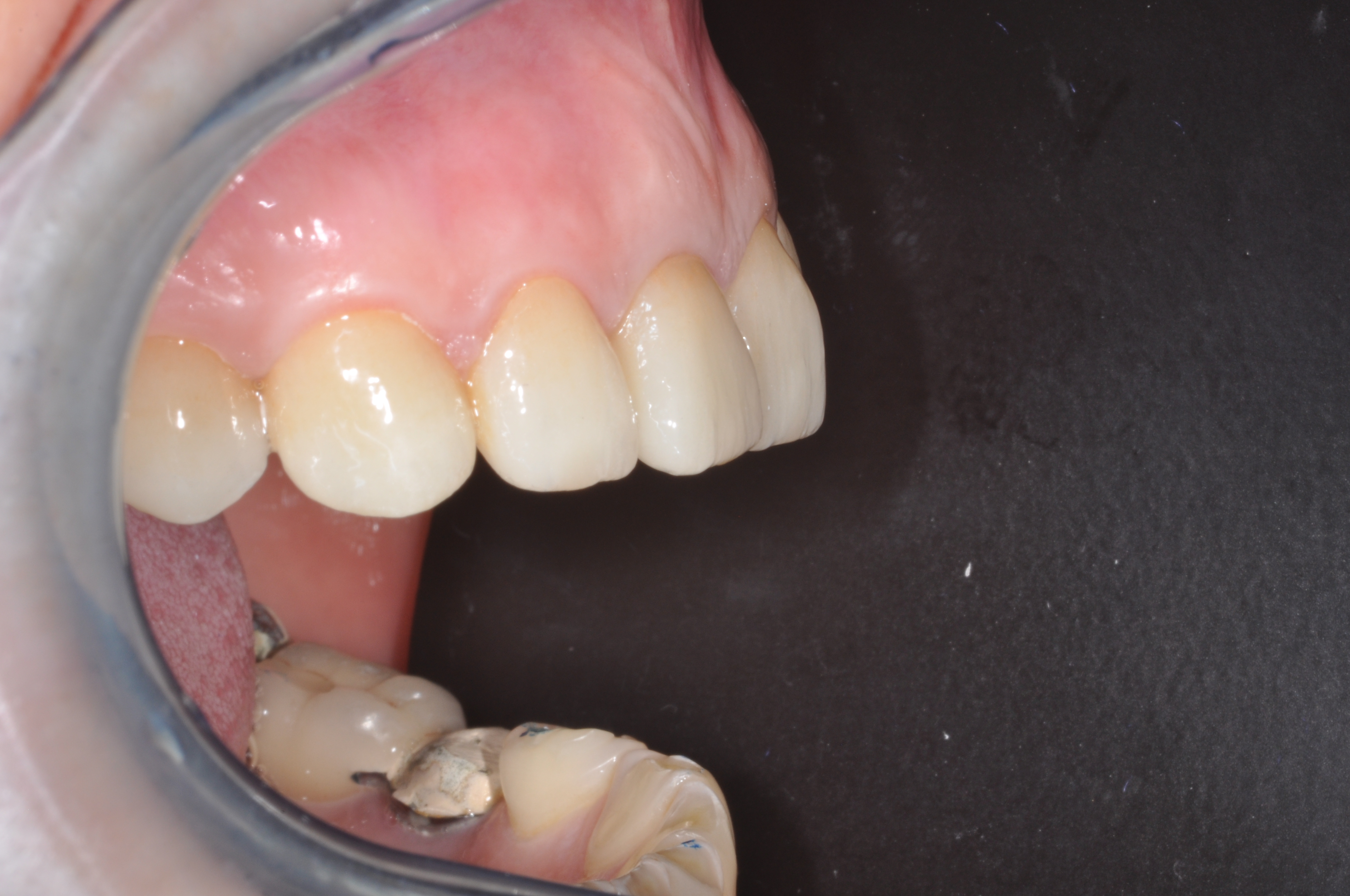
Il mock-up è la conclusione del progetto creato in laboratorio. Posizionato nella bocca del paziente consente di valutere l'estetica, i contatti occlusali e l'integrazione con l'antagonista in modo da poter eseguire prontamente eventuali correzioni.